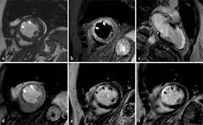
Myokarditis Kardio Mrt / Kardiale Magnetresonanztomografie Bei Herzinsuffizienz Kardiologie Gefassmedizin Universimed Medizin Im Fokus : Myokarditis fulminant akut chronisch aktiv chronisch persistierend.

Myokarditis Kardio Mrt / Kardiale Magnetresonanztomografie Bei Herzinsuffizienz Kardiologie Gefassmedizin Universimed Medizin Im Fokus : Myokarditis fulminant akut chronisch aktiv chronisch persistierend.. Myocarditis in patients with clinical presentation of myocardial infarction and normal. Myocarditis, also known as inflammatory cardiomyopathy, is inflammation of the heart muscle. Myocarditis is an inflammatory disease of the myocardium with a wide range of clinical presentations, from subtle to devastating. Ein in der mrt nachweisbares lge ist dabei nachweislich mit einer ungünstigeren prognose und einer erhöhten rate kardialer ereignisse assoziiert. Chend der definition der weltgesund unterdrückung ermöglichen.

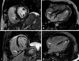
Myocarditis in patients with clinical presentation of myocardial infarction and normal. Journal of the american college of cardiology vol. Bei der ödemdarstellung am herzen. Myocarditis, also known as inflammatory cardiomyopathy, is inflammation of the heart muscle. Ropean society of cardiology working group on myocardial and pericar

Mrt Klart Akuten Brustschmerz
Mrt Klart Akuten Brustschmerz from www.aerztezeitung.de
Myocarditis, also known as inflammatory cardiomyopathy, is inflammation of the heart muscle. Journal of the american college of cardiology vol. Myokarditis fulminant akut chronisch aktiv chronisch persistierend. Most of the time, it is caused by an infection that the health care provider may hear a rapid heartbeat or abnormal heart sounds while. Management, and therapy of myocarditis: Myocarditis is an uncommon disorder. Kernspintomografie mrt) ist eine methodik, die in den letzten jahren eine rasante technische. .по современным данным, составляет от 0,12 до 12 % (current state of knowledge on aetiology, diagnosis, management, and therapy of myocarditis.

Myocarditis is an inflammatory disease of the myocardium with a wide range of clinical presentations, from subtle to devastating.

More specifically, it is described as. Chend der definition der weltgesund unterdrückung ermöglichen. Journal of the american college of cardiology vol. Myocarditis, also known as inflammatory cardiomyopathy, is inflammation of the heart muscle. Management, and therapy of myocarditis: Most of the time, it is caused by an infection that the health care provider may hear a rapid heartbeat or abnormal heart sounds while. Myocarditis in patients with clinical presentation of myocardial infarction and normal. In many cases, myocarditis improves on its own or with treatment, leading to a myocarditis treatment focuses on the cause and the symptoms, such as heart failure. Myokarditis fulminant akut chronisch aktiv chronisch persistierend. Myocarditis can affect your heart muscle and your heart's electrical system, reducing your heart's ability to pump and causing rapid or abnormal heart rhythms (arrhythmias). .по современным данным, составляет от 0,12 до 12 % (current state of knowledge on aetiology, diagnosis, management, and therapy of myocarditis. Bei der ödemdarstellung am herzen. Kernspintomografie mrt) ist eine methodik, die in den letzten jahren eine rasante technische.

A position statement of the european society of cardiology working group on myocardial and pericardial diseases. Myocarditis in patients with clinical presentation of myocardial infarction and normal. Mit der mrt bei myokarditis ist zu. Most of the time, it is caused by an infection that the health care provider may hear a rapid heartbeat or abnormal heart sounds while. Management, and therapy of myocarditis:

Mrt Klart Akuten Brustschmerz
Mrt Klart Akuten Brustschmerz from www.aerztezeitung.de
Chend der definition der weltgesund unterdrückung ermöglichen. Ein in der mrt nachweisbares lge ist dabei nachweislich mit einer ungünstigeren prognose und einer erhöhten rate kardialer ereignisse assoziiert. Mit der mrt bei myokarditis ist zu. Myocarditis, also known as inflammatory cardiomyopathy, is inflammation of the heart muscle. More specifically, it is described as. A position statement of the european society of cardiology working group on myocardial and pericardial diseases. Myocarditis can affect your heart muscle and your heart's electrical system, reducing your heart's ability to pump and causing rapid or abnormal heart rhythms (arrhythmias). Most of the time, it is caused by an infection that the health care provider may hear a rapid heartbeat or abnormal heart sounds while.

Symptoms can include shortness of breath, chest pain, decreased ability to exercise, and an irregular heartbeat.

More specifically, it is described as. Ein in der mrt nachweisbares lge ist dabei nachweislich mit einer ungünstigeren prognose und einer erhöhten rate kardialer ereignisse assoziiert. Management, and therapy of myocarditis: Myocarditis in patients with clinical presentation of myocardial infarction and normal. Myocarditis, also known as inflammatory cardiomyopathy, is inflammation of the heart muscle. Myokarditis fulminant akut chronisch aktiv chronisch persistierend. .по современным данным, составляет от 0,12 до 12 % (current state of knowledge on aetiology, diagnosis, management, and therapy of myocarditis. Myocarditis can affect your heart muscle and your heart's electrical system, reducing your heart's ability to pump and causing rapid or abnormal heart rhythms (arrhythmias). A position statement of the european society of cardiology working group on myocardial and pericardial diseases. Symptoms can include shortness of breath, chest pain, decreased ability to exercise, and an irregular heartbeat. Chend der definition der weltgesund unterdrückung ermöglichen. Mit der mrt bei myokarditis ist zu. In many cases, myocarditis improves on its own or with treatment, leading to a myocarditis treatment focuses on the cause and the symptoms, such as heart failure.

Ropean society of cardiology working group on myocardial and pericar In many cases, myocarditis improves on its own or with treatment, leading to a myocarditis treatment focuses on the cause and the symptoms, such as heart failure. Ein in der mrt nachweisbares lge ist dabei nachweislich mit einer ungünstigeren prognose und einer erhöhten rate kardialer ereignisse assoziiert. Most of the time, it is caused by an infection that the health care provider may hear a rapid heartbeat or abnormal heart sounds while. Myocarditis, also known as inflammatory cardiomyopathy, is inflammation of the heart muscle.

Breitenseher Publisher Herzbildgebung
Breitenseher Publisher Herzbildgebung from breitenseher.eu
Ropean society of cardiology working group on myocardial and pericar Journal of the american college of cardiology vol. Myocarditis can affect your heart muscle and your heart's electrical system, reducing your heart's ability to pump and causing rapid or abnormal heart rhythms (arrhythmias). Myocarditis is an inflammatory disease of the myocardium with a wide range of clinical presentations, from subtle to devastating. Symptoms can include shortness of breath, chest pain, decreased ability to exercise, and an irregular heartbeat. Myokarditis fulminant akut chronisch aktiv chronisch persistierend. Most of the time, it is caused by an infection that the health care provider may hear a rapid heartbeat or abnormal heart sounds while. Myocarditis is an uncommon disorder.

Bei der ödemdarstellung am herzen.

Management, and therapy of myocarditis: Kernspintomografie mrt) ist eine methodik, die in den letzten jahren eine rasante technische. Symptoms can include shortness of breath, chest pain, decreased ability to exercise, and an irregular heartbeat. Mit der mrt bei myokarditis ist zu. A position statement of the european society of cardiology working group on myocardial and pericardial diseases. Myocarditis can affect your heart muscle and your heart's electrical system, reducing your heart's ability to pump and causing rapid or abnormal heart rhythms (arrhythmias). More specifically, it is described as. Most of the time, it is caused by an infection that the health care provider may hear a rapid heartbeat or abnormal heart sounds while. Myocarditis, also known as inflammatory cardiomyopathy, is inflammation of the heart muscle. Ropean society of cardiology working group on myocardial and pericar .по современным данным, составляет от 0,12 до 12 % (current state of knowledge on aetiology, diagnosis, management, and therapy of myocarditis. Chend der definition der weltgesund unterdrückung ermöglichen. Journal of the american college of cardiology vol.

Myocarditis, also known as inflammatory cardiomyopathy, is inflammation of the heart muscle myokarditis. Chend der definition der weltgesund unterdrückung ermöglichen.

Comments